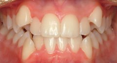
牙列拥挤应该怎么办?

牙列拥挤是最常见的一种牙齿畸形,表现为牙齿的大小正常或过宽,牙呈各种方...【详细】
牙列拥挤矫正会痛吗?

牙列拥挤必须通过矫正治疗,才能使牙齿变得健康美观,然而很多牙列拥挤朋友...【详细】
牙列拥挤矫正术后如何护理?

牙列拥挤矫正之后,为了维持矫正术后的效果,还需要注意矫正后的护理, 那...【详细】
牙列拥挤矫正多少钱?

现代大众都能接受牙列拥挤矫正来恢复牙齿自然美观的形态,对于牙列拥挤矫正...【详细】
牙列拥挤矫正有副作用吗?

牙列拥挤不仅影响牙齿美观,还会影响身体健康,所以牙列拥挤必须通过矫正改...【详细】
牙列拥挤矫正安全吗?

不少牙列拥挤的患者想接受牙齿矫正,但是,由于听信了一些牙齿矫正会留下后...【详细】
牙列拥挤矫正效果怎么样?

牙列拥挤矫正可以恢复牙齿自然美观的形态,让我们更好地绽放灿烂笑容, 那...【详细】
牙列拥挤矫正效果好不好?

牙列拥挤给生活带来了很多危害和不便,不但影响口腔美观,还会影响咀嚼功能...【详细】
牙列拥挤矫正注意事项

牙列拥挤通过矫正可以恢复牙齿的自然美观,然而牙列拥挤矫正有一些注意事项...【详细】
牙错位矫正医院哪家好?

牙齿矫正是解决牙齿畸形的最理想方法,通过医学的方法,用矫正器使牙齿进行...【详细】
版权:广州穗华口腔医院
备案号:粤ICP备15046903号
医疗广告审查证明文号:粤(A)广(2025)第1188号