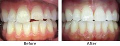
美容修复能否修复牙列不齐?

牙列不齐是目前比较常见的牙齿畸形之一,牙列不齐不但会给人们的生活造成很...【详细】
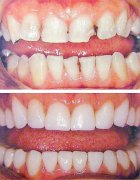
牙齿不齐危害有哪些?

牙齿不齐对人影响很大,而且长期的牙齿不齐容易形成龋齿、牙周病,而使牙早...【详细】
牙齿美容修复需要多长时间?

牙齿长得歪斜不齐是非常普遍的现象,非常有损形象的,应该及时的进行牙齿矫...【详细】
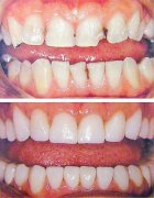
牙齿不齐能否做美容修复吗?

随着人们生活水平的提高,对于自身的美丽的要求也是越来越高,牙齿整齐美容...【详细】
种植牙专场讲座《口腔名家大讲堂》成功举办

2015 年 10 月 24 日上午 9 点 30 分,南方都市报联合暨南大学穗华口腔医院举办首...【详细】
预约重阳节种植牙讲座, 可免费获得种植牙1颗

传说中,种植牙可以陪人一辈子,为何自己的种植牙才用了两年就不行呢?种植...【详细】
“老掉牙”非正常现象 缺牙不补危害大

爱是什么?有一种诗意又略显苍凉的说法是:爱是你的牙都掉光了,我吻你的牙...【详细】
预约种植牙讲座 赢10000元大奖

我国的种植体一般都是从国外进口的,价格也相对昂贵,我希望我国科研人员能...【详细】
“赢在创新”南校区环保科技项目获青睐

10月15日,赢在创新暨南大学本科生创新大赛第六季第一期在南校区举办,共有...【详细】
四环素牙可以用冷光美白吗?

四环素牙是指在牙齿发育的过程中,由于患者服用了四环素族药物,从而导致色...【详细】
版权:广州穗华口腔医院
备案号:粤ICP备15046903号
医疗广告审查证明文号:粤(A)广(2025)第1188号