牙齿缺失要怎么修复?

由于每个人的口腔状况不同,牙齿健康程度也就不同。牙齿健康程度低所导致的...【详细】
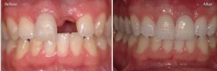
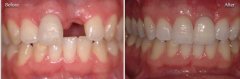
种植牙怎么样?

有很多人知道种植牙是修复牙齿缺失的很好的方式,种植牙是牙齿缺失患者的一...【详细】
牙齿意外缺损了怎么办?

生活总有不如意的地方,就像我们的牙齿,意外导致缺损了,从此变得不自信起...【详细】
500多人挤爆会场:名医种植牙讲座成功举办!

2015年9月19日上午9点30分,广州日报联合暨南大学穗华口腔医院举办名医大讲堂...【详细】
牙齿拥挤有什么坏处?

牙齿拥挤是一大牙齿问题,不仅影响外形美观,也影响口腔健康,给生活带来了...【详细】
牙列拥挤的原因是什么?

牙列拥挤使清洁不易,造成龋齿和牙周病发病率高,而且非常影响外观。严重者...【详细】
广州牙齿矫正哪里好?

看着广告上明星迷人的笑容,是否被明星那口皓齿给晃到了呢?一口洁白整齐的...【详细】
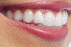
牙齿矫正有几个步骤?

有朋友提问:牙齿矫正过程是怎样的,有几个步骤?穗华口腔专家表示,牙齿矫...【详细】
糖尿病人可以做种植牙吗?

种植牙给了牙齿缺失患者希望,让他们重建自信,重现灿烂笑容,因此种植牙受...【详细】
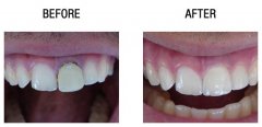
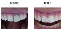
门牙缺失了可怎么好?

门牙缺失是容易被看到的地方,无论是说话还是微笑,让我们的形象大打折扣,...【详细】
版权:广州穗华口腔医院
备案号:粤ICP备15046903号
医疗广告审查证明文号:粤(A)广(2025)第1188号